

Highly accelerated MR angiography (MRA) of the brain with a combination of Time-of-Flight (ToF) MR angiography and Compressed Sensing (CS).


Coronal Projection
TA: 3:12
7.2 CS factor
0.4 mm slice
576 matrix
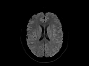
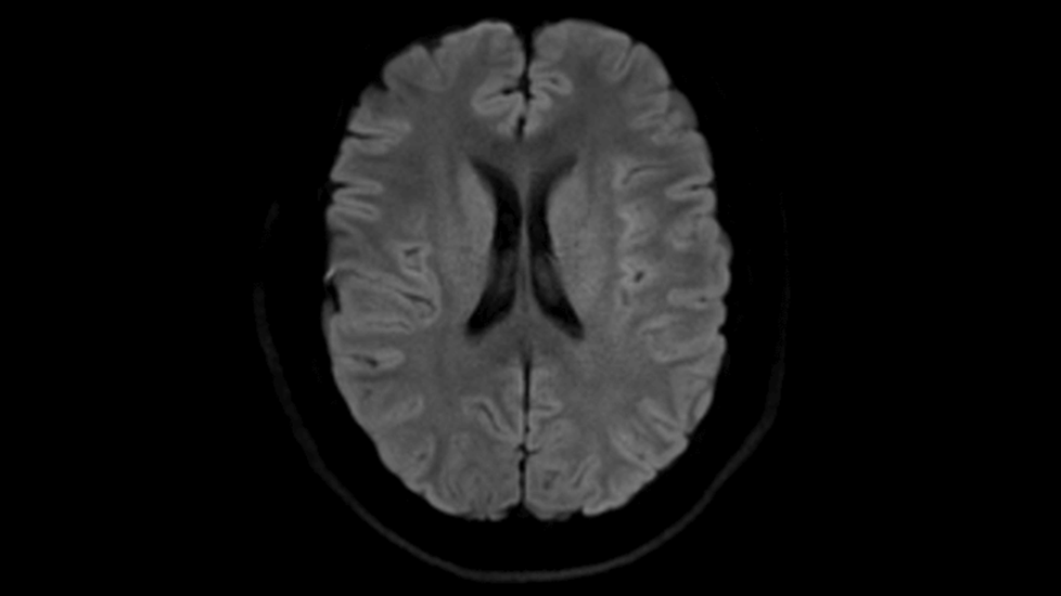
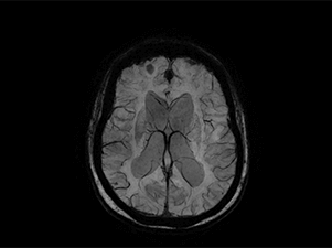
RESOLVE delivers high-resolution low-distortion diffusion-weighted imaging (DWI) for accurate depiction of lesions.


Axial
SMS 2
TA: 4:00
4.0 mm slice
384 matrix
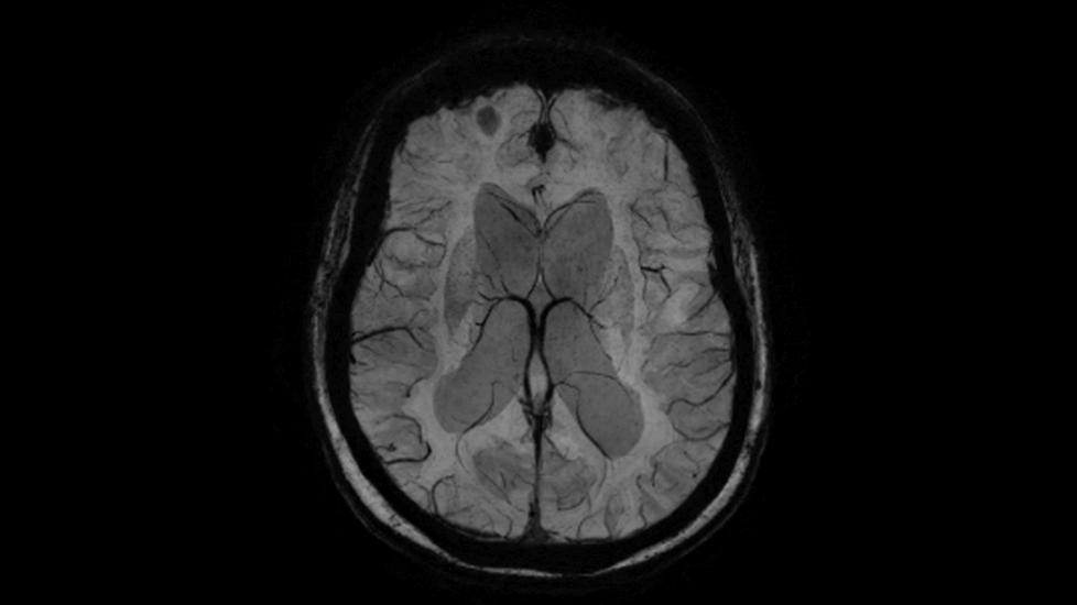
Deep Resolve Sharp is an AI-powered image reconstruction technology with a deep neural network at its core that generates a high-resolution image from low-resolution input. The inclusion of the acquired raw data in the reconstruction process ensures clinically robust results.


Deep Resolve Sharp
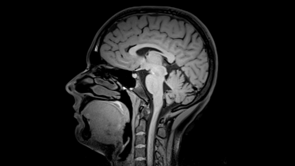
Sagittal T1
TA: 2:30
2.5 mm slice
150 mm FOV
1024 matrix
Courtesy of HMCA
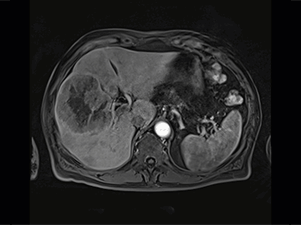
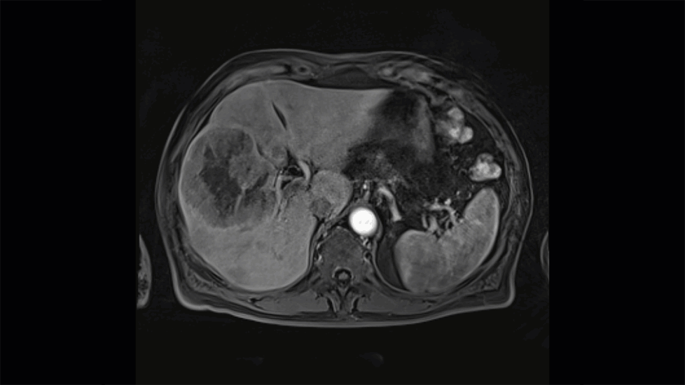
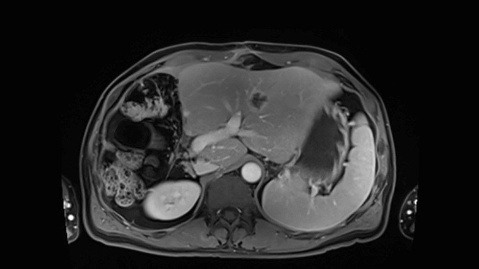
Compressed Sensing GRASP-VIBE makes it possible to conduct dynamic contrast-enhanced abdominal exams via free breathing. Acquisition is performed in one continuous run and the temporal resolution can be adjusted over the duration of the scan.


TA: 0:12 sec
Free Breathing
3.0 mm slices
380 matrix
Simultaneous Multi-Slice significantly reduces imaging times for DWI, BOLD, TSE and TSE DIXON imaging through excitation and readout of multiple slices simultaneously.


Coronal STIR
Pediatric
SMS 2
TA: 3:00
4.0 mm slice
384 matrix
1024 matrix
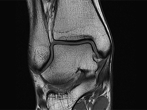
Highly accelerated musculoskeletal imaging in patients with whole joint replacements based on SEMAC (slice encoding for metal artifact correction) with Compressed Sensing and Iterative Reconstruction.


Coronal T1
SMS 2
TA: 4:45
3.0 mm slice
Deep Resolve Gain is an advanced image reconstruction technology with targeted denoising maps. The individual noise maps address local noise variations, resulting in higher SNR. It is applicable to all TSE sequences.


Deep Resolve Gain
Coronal
10 sec. breath hold
iPAT is a high performance and flexible parallel imaging with integrated autocalibration. iPAT is compatible with all relevant sequence techniques and coil combinations.


Coronal T1
iPAT 2
TA: 2:30
2.5 mm slice
100 mm FOV
384 matrix
Highly accelerated 3D imaging with Compressed Sensing and Iterative Reconstruction. Spatial and temporal resolution can be improved and scan time substantially reduced for musculoskeletal imaging.


Sagittal 3D
iPAT 4
TA: 4:00
0.5 mm slice
160 mm FOV
320 matrix
Simultaneous Multi-Slice significantly reduces imaging times for DWI, BOLD, TSE and TSE DIXON imaging through excitation and readout of multiple slices simultaneously.


Coronal T2
SMS 2
TA: 1:09
2.0 mm slice
200 mm FOV
Taking advantage of the Deep Resolve AI-powered image reconstruction technology, this innovative multi-shot EPI approach drives increased data acquisition. New static field corrections are implemented to minimize geometric distortions from the EPI imaging.


Highly accelerated 3D imaging with Compressed Sensing and Iterative Reconstruction. Spatial and temporal resolution can be improved and scan time substantially reduced for neurological imaging.


Sagittal T1
CS 4
TA: 3:04
1.0 mm slice
250 mm FOV
Wave-CAIPI is a new sequence technique that improves head imaging over standard SWI contrast and allows for higher acceleration factors.


Axial SWI
iPAT 4
TA: 1:40
2.0 mm slice
230 mm FOV
352 matrix
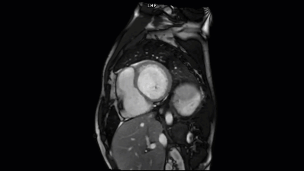
Highly accelerated functional Cardiac 2D Cine imaging with Compressed Sensing and Iterative Reconstruction. Real-time Cine or single breath-hold Cine for full heart coverage in patients with limited breath-hold capability or with arrhythmia.


1 heartbeat
25 phases
CS 5
5.0 mm slice
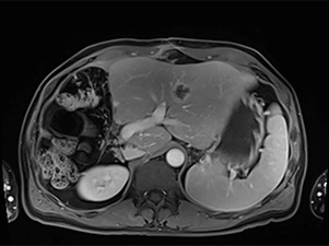
CAIPIRINHA is a data acquisition technique that significantly reduces breath-holds without affecting image resolution, coverage, or contrast. It can be used for a single short breath-hold.


Axial Fat Suppression
13 sec. breath hold
3.0 mm slice
320 mm FOV
320 matrix
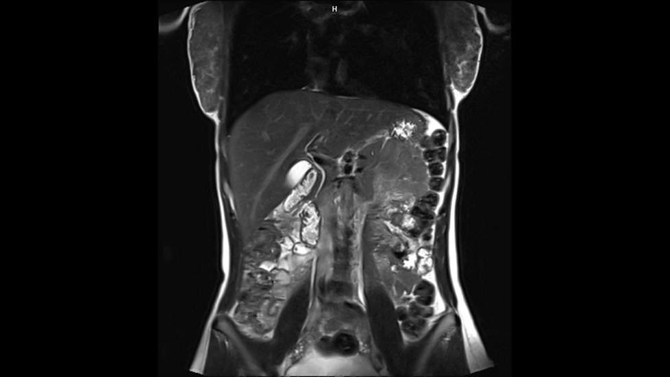
Highly accelerated 3D imaging with Compressed Sensing and Iterative Reconstruction. Spatial and temporal resolution can be improved and scan time substantially reduced for body imaging.


MRCP
CS 4
TA: 0:49
0.5 mm slice
300 mm FOV
RESOLVE delivers high-resolution, low-distortion diffusion-weighted imaging (DWI) for accurate depiction of lesions in prostate and breast. Slice acceleration can be used to reduce scan time and/ or achieve higher spatial resolution.


Axial Diffusion
SMS 2
TA: 3:00
4.0 mm slice
340 mm FOV
Simultaneous Multi-Slice significantly reduces imaging times for DWI, BOLD, TSE and TSE DIXON imaging through excitation and readout of multiple slices simultaneously.


Coronal T1
SMS 2
TA: 1:19
3.0 mm slice
150 mm FOV
Deep Resolve Boost is an AI-powered image reconstruction technology that can be combined with SMS and Deep Resolve Sharp. The unique combination allows for much higher accelerated scans as well as the ability to increase the image resolution.


Coronal T1
SMS 2
TA: 1:00
2.5 mm slice
120 mm FOV
1024 matrix
